ずっと、音楽と一緒に。 ON-KEN SCOPE

ON-KEN SCOPE とは?

ずっと、音楽と一緒に。
ON-KEN SCOPE
  1. ホーム
  2. 研究・レポート
  3. 心と身体
  4. 音楽はどのように脳に取り込まれるか。
研究・レポート
連載
音楽と脳-脳科学から見た音楽の受容と表出-
佐藤 正之(さとう まさゆき)
三重大学大学院 医学系研究科 認知症医療学講座 准教授/三重大学医学部附属病院 音楽療法室 室長
※記事掲載時点の情報です

音楽はどのように脳に取り込まれるか。

脳賦活化実験と症例研究

前回述べたような設定した課題を行っている際の脳活動を測定して、その課題に関与する脳部位を調べる研究方法を脳賦活化実験といいます。コンピューター技術の進歩により、脳賦活化実験はこの20年間に大いに発展しました。歴史的には、脳のそれぞれの部位がどのような機能を行っているかは、症例研究により明らかにされてきました。
ある人に脳卒中が起こった結果、特定の認知機能が障害されたとします。その場合、健常時にはその脳部位が、障害されたのと同じ機能を担っていたと予想されます。19世紀半ばに左半球の障害による失語症の症例が報告されて以来、脳科学は膨大な症例の積み重ねの上に発展してきました。

脳賦活化実験と症例研究は、いわばコインの両面です。ある脳部位の損傷により認知機能障害の生じることが、症例研究で報告されているとします。その認知機能を調べる脳賦活化実験を行った結果、症例研究で報告されていたのと同じ脳部位が光って見えたとします。この場合、その脳部位がその認知機能を担っている可能性は極めて高くなります。つまり脳画像の結果は、症例研究の裏付けを得て初めて確からしさを得ることができます。

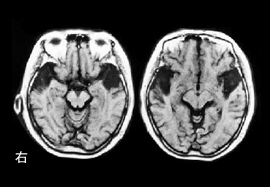
図1.和音認知の障害を来した失音楽症例の脳MRI ※1

筆者による研究の例をあげましょう。図1は両側側頭葉の前部に脳梗塞を生じた結果、失音楽症を来した症例の脳MRI画像です。
患者は無症状で退院しましたが、自宅に帰るとなじみの音楽が分からなくなっていることに気付きました。何度も聞いていたレコードを聞いても何の曲か分からず、ケースを見て初めて慣れ親しんだ曲であることを知りました。
音楽能力の検査を評価したところ、なじみのメロディーが分からなくなっている他に、和音の響きも分からなくなっていました。

図2.和音を聞いたときの活性化部位 ※2

そこで次に、和音がどのように脳で受容されるかを調べるために、PETを用いた脳賦活化実験を行いました。
健康な男子大学生を対象に、同じ楽曲の和音を聞いているときと、メロディーを聞いているときの脳血流を測定し、前者から後者を引き算しました。図2はその結果です。多くの脳部位が光っていますが、その中で両側側頭葉前部(赤矢印)が活性化していることが分かります。

つまり、両側の側頭葉前部が障害された患者で和音の響きが分からなくなり、和音の受容を調べた脳賦活化実験で同じ部位が活性化したことになります。このことから、両側側頭葉前部は和音の受容に何らかの役割を果たしているということができます。このように画像解析技術が発展し続ける今日においても、症例研究の重要性は増しこそすれ決して減ってはいません。

音楽の脳内メカニズム

現時点で考えられている音楽の脳内メカニズムを示すと、図3のようになります ※3
ピッチは内耳の段階で高さの情報が分けられ、最終的には側頭葉にある聴覚野で受容されます。
リズムの受容には、左半球特に小脳−基底核−前頭葉の回路がはたらくとされています ※4・5
和音は、先ほど述べたように側頭葉の前部が関与します。
カラオケなどで歌をうたう際には伴奏とメロディーを聞きわける必要があります。それには側頭葉後下部と後頭葉の境界部がはたらくと考えられます ※6

図3.音楽の脳内メカニズム ※3

ピッチの高低の比較には頭頂葉と前頭葉のネットワークが関与します※47
前頭葉で作られた歌唱の運動プログラムは運動野に至り、喉や舌などの筋肉への命令として伝えられ、実際の運動となります。
もちろん、これらがすべて正しいかどうかは、さらに研究の積み重ねを要します。科学とは仮説の設定と証明あるいは破壊に続く新たな仮説の設定を繰り返して、発展していくものですから。

第2回のポイント

脳画像は車輪の片側。症例研究と一体となって初めて威力を発揮する。

  • ※1 Masayuki Satoh, Katsuhiko Takeda, Yasuo Murakami, Kenji Onouchi, Kiyoharu Inoue, Shigeki Kuzuhara. A case of amusia caused by the infarction of anterior portion of bilateral temporal lobes. Cortex 41:77-83, 2005.
  • ※2 Masayuki Satoh, Katsuhiko Takeda, Ken Nagata, Jun Hatazawa, Shigeki Kuzuhara. The anterior portion of the bilateral temporal lobes participate in music perception: a PET study. American Journal of Neuroradiology 24:1843-1848, 2003.
  • ※3 佐藤正之「失音楽症」〜忘れてはならない高次脳機能障害〜 神経内科 76:323−327, 2012.
  • ※4 Platel H, Price C, Baron JC, et al. The structural components of music perception; A functional anatomical study. Brain 120 : 229-43, 1997.
  • ※5 Bengtsson SL, Ullén F. Dissociation between melodic and rhythmic processing during performance from musical scores. Neuroimage 30 : 272-84, 2006.
  • ※6 Masayuki Satoh, Katsuhiko Takeda, Ken Nagata, Eku Shimosegawa, Hidekazu Tomimoto. The lateral occipital complex is activated by melody with accompaniment: foreground and background segregation in auditory processing. J Behavioral and Brain Science 1: 94-101, 2011.
  • ※7 Masayuki Satoh, Katsuhiko Takeda, Ken Nagata, Jun Hatazawa, Shigeki Kuzuhara. Activated brain regions in musicians during an ensemble: a PET study. Cognitive Brain Research 12 (2001) 101-108, 2001.
著者プロフィール ※記事掲載時点の情報です
佐藤 正之(さとう まさゆき)
三重大学大学院 医学系研究科 認知症医療学講座 准教授/三重大学医学部附属病院 音楽療法室 室長
専門:神経内科学、神経心理学、認知症医療学
著書・論文
  • 「音楽する脳―音楽の脳科学」 脳とアート:感覚と表現の脳科学。 脳とソシアル、pp.149-166、2012、医学書院
  • 「カルテと楽譜の間から:音楽家くずれの医者の随想」 2011、新風書房、大阪
  • 「アート・イン・サイエンス:医療としての音楽療法」音楽医療研究、5: 1-7, 2012.
 
著書・論文
  • 「音楽する脳―音楽の脳科学」 脳とアート:感覚と表現の脳科学。 脳とソシアル、pp.149-166、2012、医学書院
  • 「カルテと楽譜の間から:音楽家くずれの医者の随想」 2011、新風書房、大阪
  • 「アート・イン・サイエンス:医療としての音楽療法」音楽医療研究、5: 1-7, 2012.
 
ページトップへ